Ayaz Virji
Category: Global Health, Health Magazine

Title:Reflections on medicine with Ayaz Virji (C’96, M’00)

Author: Interviewed by Jane Malhotra
Date Published: October 16, 2018

More from This Issue

graphic of dna going through a machine

Georgetown invention offers speedy genetic detection of bacterial and viral pathogens.

Five alumni in global health share lessons from the field.

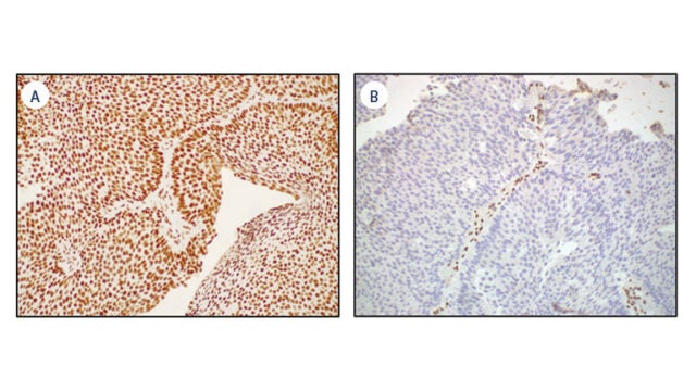
medical imaging of bladders

Georgetown researchers have developed a new diagnostic tool for bladder cancer that may reduce unnecessary treatment for patients with non-invasive tumors.